Définition
L’épanchement pleural, c’est l’accumulation anormale de liquide dans la cavité pleurale, espace situé entre les poumons et la paroi du thorax. Plus précisément, le liquide s’accumule entre les deux couches de la plèvre. En effet, la plèvre est une couche mince de tissus qui couvre les poumons et tapisse la paroi du thorax.
La clinique de l’Épanchement pleural
Quand suspecte-t-on un épanchement pleural ?
- En cas de douleur thoracique : pouvant irradier dans l’épaule ou dans le dos, d’intensité variable, dépendante de la respiration. Cette douleur est exacerbée par la respiration et la toux.
- En cas de dyspnée (gêne respiratoire) : sa rapidité d’installation et l’intensité dépendent du terrain sur lequel surviennent l’épanchement, de son abondance et des causes. Toux sèche, au changement de position.
- En cas de fièvre : dans les formes aiguës, le plus souvent en rapport avec une pneumonie sous-jacente.
Les Causes de l’épanchement pleural
Les causes principales de l’épanchement pleural sont l’insuffisance cardiaque gauche et la cirrhose. Par ailleurs, typiquement la pleurésie est indolore et bien tolérée.
Si l’épanchement est douloureux : nécessité d’un bilan plus poussé à la recherche d’autres causes.

Les Examens Complémentaires
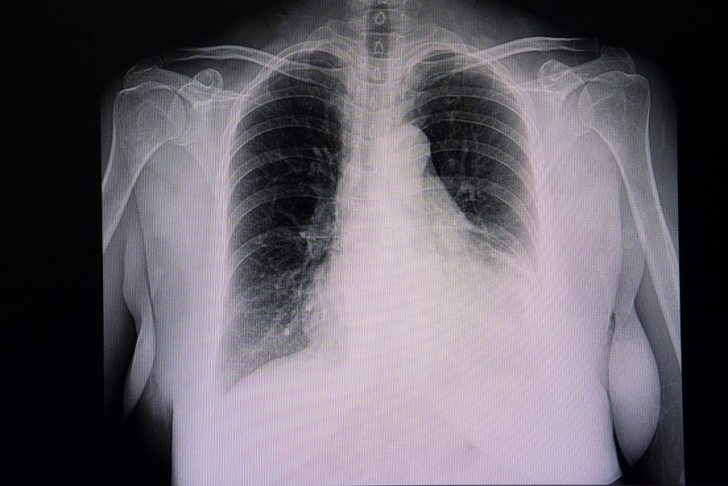
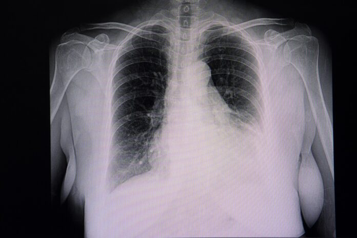
- Radiographie thoracique de face : elle suffit lors des gros épanchements.
- L’échographie pleurale : elle permet d’affirmer l’existence d’un épanchement liquidien. Elle permet également de faire facilement le diagnostic des épanchements cloisonnés. Fait la part entre pleurésie et collapsus pulmonaire dans les cas difficiles.
- Tomodensitométrie thoracique : n’est pas indispensable en urgence pour affirmer le diagnostic.
Prise En Charge de l’Épanchement pleural
Le premier geste à réaliser est donc la ponction pleurale :
En urgence si : épanchement fébrile à la ponction est à visée étiologique (à la recherche des causes) et parfois également évacuatrice permettant de soulager le patient si la tolérance clinique n’est pas correcte.
Déroulement de la ponction pleurale : le patient doit être confortablement installé, assis le dos rond. Après une désinfection de la peau et une anesthésie locale, on introduit alors l’aiguille entre les deux côtes, dans la cavité pleurale contenant le liquide. Néanmoins, cet acte est indolore.
On réalisera alors une radiographie thoracique de contrôle post ponction systématiquement à la recherche de la complication la plus fréquente : pneumothorax iatrogène causé par l’aiguille de ponction.
En savoir plus :
? Cette fiche ne dispense pas d’une consultation médicale ?

