La radiographie repose sur l’utilisation des rayons X. Il s’agit d’une technique d’imagerie médicale qui visualise un organe ou une partie du corps sur une pellicule photosensible (sensible à la lumière).
On parle également de radiographie lorsque l’on évoque le cliché radiographique obtenu après l’examen. On parle plus communément de « radio ».
À quoi sert l’examen radiographique ?
L’examen radiographique permet de visualiser la plupart des organes sans avoir à « ouvrir » le corps ou à introduire de caméra à l’intérieur. Les os, les articulations, les poumons, le système urinaire ou bien encore le système digestif, sont ainsi visibles.
L’examen radiographique est-il douloureux ?
Non, l’examen radiographique n’est pas douloureux. Toutefois, des précautions doivent être prises chez la femme enceinte. En effet, lors des premières semaines de grossesse, les cellules fœtales sont en pleine division et elles sont extrêmement sensibles au rayonnement. Il est donc impératif de signaler sa grossesse lors de la prescription d’une radio par un médecin.
Comment se passe l’examen ?
Le patient est positionné entre le tube à rayons X et un récepteur. La quantité des rayons X qui arrive au récepteur dépendra des tissus traversés. Aussi, il s’agira d’éviter tout élément pouvant fausser la lecture du cliché.
- Pour une radiographie simple, il n’est pas nécessaire d’être à jeun.
- La région examinée doit être dépourvue d’éléments qui absorbent les rayons X type bijou, métal, vêtements…
- Le patient doit maintenir sa position jusqu’à ce que le cliché soit réalisé.
- Le patient doit respecter les consignes de respiration.
Les résultats d’une radio
Après examen, les images sont analysées par un médecin radiologue. Il transmet son rapport au médecin (généraliste ou spécialiste) qui a prescrit l’examen. Généralement, le patient peut repartir avec ses clichés.
Ces images sont désormais numérisées et conservées au cabinet ou à l’hôpital suivant le lieu de l’examen. Vous êtes libre d’accepter ou non leur conservation.
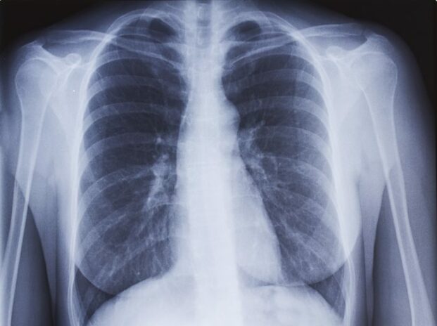
Le saviez-vous ? Le faisceau de rayons X subit différents niveaux d’atténuation :
- Il est important quand il traverse la structure osseuse, d’où la couleur blanche sur la radio.
- Il est intermédiaire lorsqu’il traverse la structure musculaire d’où la couleur grisâtre.
- Il est faible lorsqu’il traverse les poumons (leurs alvéoles sont remplies d’air) d’où la couleur noire sur les clichés radiographiques.
Sources : https://www.cisssca.com
Pour en savoir plus :

